Achsenkorrektur
bei Arthrose/Fehlstellung
Auf dieser Seite finden Sie als Patient die wichtigsten Informationen zu diesem Eingriff.
Ihr Spezialist für diesen Eingriff
Kurzübersicht
Ablauf der Behandlung:
Patientenbroschüre
Beginnende Knie-Arthrose bei Fehlstellungen (O- oder X-Beine)
Was ist eine Fehlstellung am Kniegelenk?
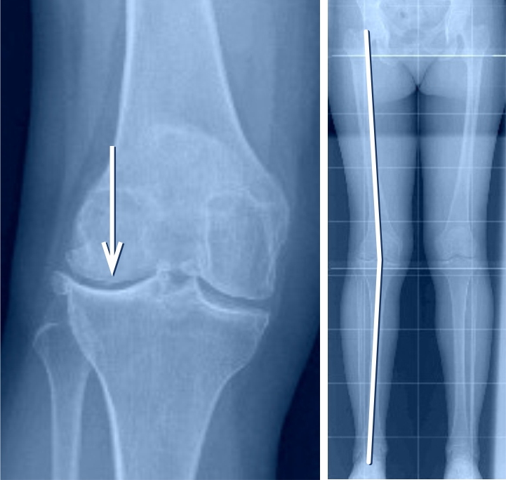
Im Verlauf des Lebens kommt es zu natürlichen Veränderungen der Beinachse. Säuglinge werden mit O-Beinen geboren. Nach dem Kleinkindalter verändert sich die Beinachse zu einem leichten X-Bein. Mit der Pubertät stellt sich dann meist eine gerade Beinachse ein. Dies ist der Fall, wenn sich im geraden Stand bei geschlossenen Beinen Knöchel und Knie an der Innenseite berühren. Bleibt bei sich berührenden Knöcheln zwischen den Knien ein Abstand, spricht man von O-Beinen. Bleibt hingegen eine Lücke zwischen den Knöcheln, während die Knie sich berühren, spricht man von X-Beinen. Beim O-Bein verläuft die gewichttragende Achse durch die innen gelegene Fläche des Kniegelenks, beim X-Bein durch die aussen gelegene.
Was sind die Symptome der beginnenden Gonarthrose?
Für die Kniegelenkarthrose typisch sind belastungsabhängige Knieschmerzen im geschädigten Gelenkbereich, insbesondere bei den ersten Schritten (sogenannter Anlaufschmerz). Eine längere Belastung kann die Beschwerden noch verstärken. Die Varusgonarthrose (O-Bein) schmerzt tendenziell auf der Innenseite des Knies und die Valgusgonarthrose (X-Bein) auf der Aussenseite. Konventionelle Röntgenbilder bestätigen die entsprechende Diagnose.
Behandlungsoptionen
Wie sind die Behandlungsmöglichkeiten und wann soll operiert werden?
Wenn nur auf der Innen- oder der Aussenseite des Kniegelenks eine Arthrose vorliegt, kann mit einer sogenannten Umstellungsosteotomie oft eine Linderung der Beschwerden über Jahre erzielt werden, ohne dass ein künstliches Gelenk eingebaut werden muss. Wenn nur die Innenseite des Kniegelenks von der Arthrose betroffen ist (O-Beine), während die äussere Gelenkhälfte völlig schmerzfrei ist, kann mittels Umstellungsosteotomie durch eine Knochendurchtrennung im oberen Schienbeinbereich ein leichtes X-Bein erzielt werden (sogenannte Valgisationsosteotomie), was zur Entlastung der inneren Gelenkhälfte führt. Ziel ist es, unter Erhalt des eigenen Gelenks die Schmerzen zu vermindern und das Fortschreiten der Arthrose aufzuhalten oder zumindest zu verzögern. Zur Behandlung der Valgusgonarthrose (X-Fehlstellung) erfolgen Knochendurchtrennung und Achsenkorrektur knienah meistens am Oberschenkel (Varisationsosteotomie). Ist die Fehlstellung sehr ausgeprägt ist es manchmal sogar notwendig, in derselben Operation am Ober- und Unterschenkel einen Korrektureingriff vorzunehmen.
Die Korrektur solcher Fehlstellungen wird vor allem bei jüngeren Patienten empfohlen. Ziel der Operation ist es, das Einsetzen eines künstlichen (Teil-)Gelenks so lange wie möglich hinauszuzögern.
Gerne werde ich mit Ihnen besprechen, ob ein solcher Eingriff für Sie in Frage kommt.
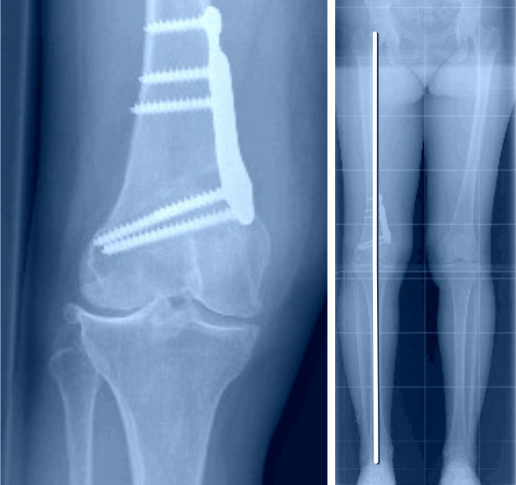
Beispiel einer sogenannten Doppel-Osteotomie, bei der sowohl am Oberschenkel als auch am Unterschenkel eine Korrektur gemacht wurde, zur korrekten Ausrichtung der Beinachse und Gelenkslinie.
Verlauf
Wie sieht der Verlauf nach einer Umstellungsosteotomie am Knie aus?
Bei der Valgisationsosteotomie wird der Knochen über einen Hautschnitt an der Innenseite des Kniegelenks durchgesägt und in der neuen aufgespreizten Position mit einer Platte und Schrauben fixiert. Der durch das Aufklappen entstehende Zwischenraum wird gelegentlich mit Knochen aus dem Beckenkamm gefüllt. Die endgültige Stabilität erhält der Knochen jedoch erst durch die Knochenheilung. Der Patient muss das operierte Bein während 6 Wochen durch Gehstöcke entlasten. In dieser Phase ist zudem eine Blutverdünnung notwendig, um das Risiko einer Venenthrombose oder einer Lungenembolie so gering wie möglich zu halten. Zeigt die Röntgenkontrolle im Verlauf der Nachbehandlung einen zunehmenden Durchbau des Knochens an der Stelle, an der er durchtrennt wurde, kann die Belastung gesteigert werden. Häufig ist nach 10 bis 12 Wochen wieder die volle Belastung möglich.
Muss die Korrektur knienah am Oberschenkel durchgeführt werden, erfolgt der Hautschnitt weiter oben an der Innenseite des Oberschenkels. Die Operationstechnik an sich sowie die Nachbehandlung sind bei beiden Eingriffen ähnlich.
Durch eine Verlagerung der Belastung vom kranken in den gesunden Bereich des Gelenks kann das Fortschreiten der Arthrose verlangsamt werden.
Zum zeitlichen Verlauf kann jedoch meist keine Prognose gestellt werden. Die Beschwerden können in den meisten Fällen deutlich verringert und das Einsetzen eines künstlichen Gelenks hinausgezögert werden. Häufig vergehen jedoch 3 bis 6 Monate, bis die maximale Linderung der Beschwerden erreicht ist und der Erfolg der Operation tatsächlich beurteilt werden kann.
Grosse Untersuchungen haben gezeigt, dass etwa 65 % aller Patienten nach 10 Jahren mit dem Operationsergebnis immer noch zufrieden sind. Bei 35 % musste im gleichen Zeitraum ein künstliches Gelenk eingesetzt werden.
Insgesamt ist zu beobachten, dass sich der Zustand des Knies trotz erfolgreicher Operation über die Jahre langsam verschlechtert. Eine Heilung der Arthrose ist leider nicht möglich, und bei weiterer Zunahme der Beschwerden ist ein künstliches Gelenk zuletzt unumgänglich. Durch die Umstellungsosteotomie kann man die Implantation eines künstlichen Gelenks aber in vielen Fällen hinauszögern.
Die Korrektur solcher Fehlstellungen wird vor allem bei jüngeren Patienten empfohlen. Ziel der Operation ist es, das Einsetzen eines künstlichen (Teil-)Gelenks so lange wie möglich hinauszuzögern.
Gerne werde ich mit Ihnen besprechen, ob ein solcher Eingriff für Sie in Frage kommt.
Risiken und Komplikationen
Was sind die Risiken dieser Operation?
Leider sind Operationen nie ohne Risiko.
Thrombose/Embolie, Wundinfektion
Zu den allgemeinen Operationsrisiken jeder Operation zählen Medikamentenunverträglichkeit oder -allergie, Thrombose, Embolie, Bluterguss und Wundinfekt.
Künstliches Kniegelenk
Leider kann keine Garantie auf Schmerzlinderung oder sogar Schmerzfreiheit abgegeben werden. Selten führt die Achsenkorrektur nicht zu der gewünschten deutlichen und anhaltenden Beschwerdelinderung und die Arthrosebeschwerden gehen gar nie richtig weg oder bleiben gleich wie vor dem Eingriff. In diesen Fällen bleibt bei deutlicher Kniearthrose und sorgfältiger Abwägung meist nur noch die Implantation eines künstlichen Kniegelenks.
Abweichungen
Die Operation wird zwar genauestens geplant, Abweichungen von mehr als 3° von der Planung sind aber immer möglich. Ganz selten kommt es zu einer schweren Über- oder Unterkorrektur.
Nervenschädigung
Je nach Technik des Eingriffs und des damit verbundenen Zugangsweges besteht die Gefahr einer Nervenschädigung (Nervus peronaeus). Bei Lähmungserscheinungen nach der Operation (der Fuss kann nicht mehr angehoben werden) ist manchmal eine Revisionsoperation mit Freilegung des Nervs und allenfalls Dekompression (Offenlegung) der Muskulatur am Unterschenkel notwendig. Eine komplette oder teilweise Erholung der Lähmung ist oft möglich, dauert aber meist über ein Jahr. Je nach Ausmass der Nervenschädigung kann die Lähmung aber dauerhaft bleiben.
Knochendurchbruch
Bei der inkompletten Knochendurchtrennung kann es vor allem bei grossen Korrekturen zu einem unerwünschten vollständigen Knochendurchbruch kommen. In den meisten Fällen hat dies jedoch keine Auswirkungen auf das weitere Vorgehen, ausser dass etwas vorsichtiger nachbehandelt werden muss und die Entlastung durch Gehstöcke länger notwendig ist.
Zusätzlicher Hautschnitt
Selten muss ein zusätzlicher Hautschnitt mit Anlegen einer weiteren Platte erfolgen, sollte die Osteotomie zu Instabil sein oder die Korrektur sehr gross.
Verzögerte/ausbleibende Knochenheilung
Dass die Knochenheilung sich verzögert oder ganz ausbleibt, ist selten, kann jedoch ebenfalls eine längere Entlastungsphase oder – in Ausnahmefällen – eine erneute Operation erforderlich machen. Dieses Risiko ist bei Rauchern leider deutlich höher.





